Profesjonalna ortodoncja w Wieluniu
Specjalistyczne leczenie ortodontyczne dla dzieci i dorosłych. Twój uśmiech w rękach eksperta – sprawdź, co możemy dla Ciebie zrobić.
Lek. Dent. Joanna Rygas
Jestem lekarzem dentystą z tytułem specjalisty ortodoncji. Ukończyłam studia na Uniwersytecie Medycznym im. Piastów Śląskich we Wrocławiu. Uzyskanie jednego
z najwyższych wyników w kraju w Lekarsko-Dentystycznym Egzaminie Państwowym umożliwiło mi rozpoczęcie w 2022 roku programu specjalizacyjnego z ortodoncji we Wrocławiu. W 2024 roku w Warszawie zdałam Państwowy Egzamin Specjalizacyjny
w dziedzinie ortodoncji, który potwierdził moje kompetencje zawodowe. W 2025 roku zakończyłam 3-letnie szkolenie specjalizacyjne, uzyskując tytuł specjalisty ortodoncji.
Aktualnie prowadzę badania na Uniwersytecie Medycznym we Wrocławiu dotyczące zastosowania biomateriałów w leczeniu ortodontycznym – są one tematem mojego doktoratu. Jestem autorką artykułów naukowych z zakresu ortodoncji, opublikowanych
w prestiżowych czasopismach zagranicznych. Należę do Polskiego Towarzystwa Ortodontycznego i regularnie poszerzam wiedzę, biorąc udział w licznych kursach oraz konferencjach poświęconych nowoczesnym metodom leczenia ortodontycznego.
Podczas wizyt stawiam na profesjonalne podejście w swobodnej atmosferze – zależy mi, aby każdy pacjent czuł się komfortowo, miał przestrzeń do zadawania pytań oraz wspólnego podejmowania decyzji dotyczących leczenia. Bardzo ważne jest dla mnie, aby pacjenci
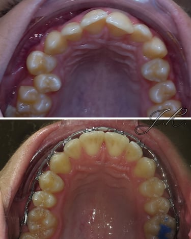
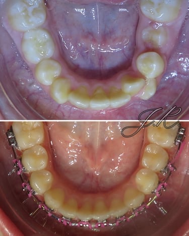
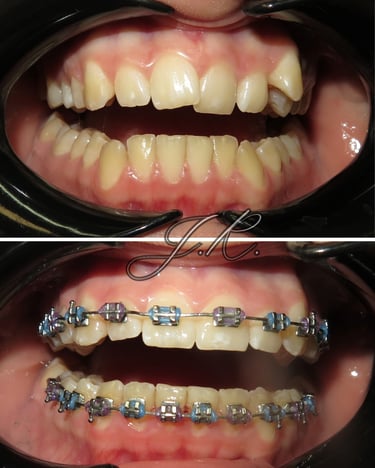
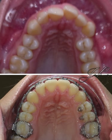
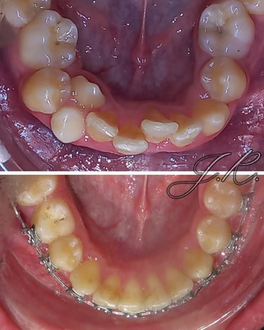
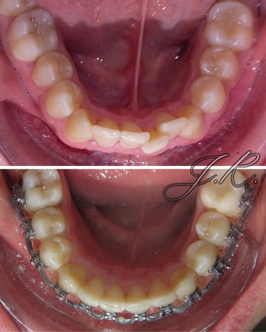
widzieli realne efekty leczenia, dlatego podczas wizyt kontrolnych często prezentuję porównanie zdjęć wewnątrzustnych przed rozpoczęciem leczenia i w jego trakcie.


O Specjaliście
Poznaj ortodontę, który zadba o Twój piękny i zdrowy uśmiech
Specjalista Ortodoncji
Specjalista Ortodoncji
Dyplomowany Ekspert
Wykształcenie
Członkostwo
Uniwersytet Medyczny we Wrocławiu
Polskie Towarzystwo Ortodontyczne
Oferujemy kompleksowe usługi ortodontyczne dla pacjentów w każdym wieku, wykorzystując najnowocześniejsze metody leczenia
Zakres usług








Konsultacje i plany leczenia
Kompleksowa ocena zgryzu i uzębienia, na podstawie której opracowywany jest indywidualny plan leczenia oraz dobierane są odpowiednie metody leczenia:
✔ Dokładna diagnostyka ortodontyczna
✔ Wszystkie wizyty przeprowadzane są przez dyplomowanego lekarza ortodontę z tytułem specjalisty
✔ Opracowanie indywidualnych planów leczenia
✔ Omówienie wszystkich dostępnych rozwiązań
✔ Udzielanie odpowiedzi na pytania pacjenta – bardzo cenię wspólny dialog.
Aparaty stałe
Leczenie ortodontyczne z wykorzystaniem aparatów stałych:
✔ Skuteczne leczenie różnych rodzajów wad zgryzu
✔ Możliwość wyboru aparatów estetycznych
✔ Swobodna atmosfera podczas wizyt
✔ Indywidualne podejście do pacjenta
✔ Stała opieka i kontrola efektów leczenia.
Ortodoncja dla dzieci
Wczesne leczenie ortodontyczne pozwala na kontrolowanie rozwoju zgryzu i zapobieganie poważniejszym wadom już na wczesnym etapie.
✔ Monitoring rozwoju zgryzu
✔ Zapobieganie powstawaniu wad
✔ Leczenie aparatami zdejmowanymi
✔ Metody dopasowane do wieku dziecka
✔ Przyjazne i komfortowe podejście
Retencja
Etap podtrzymania efektów leczenia ortodontycznego z wykorzystaniem indywidualnie dobranych aparatów retencyjnych – zdjemowanych i/lub stałych.
✔ Utrzymanie trwałych efektów leczenia
✔ Dobór odpowiednich retainerów
✔ Regularne kontrole stabilności zgryzu
✔ Dopasowanie retencji do potrzeb pacjenta

Specjalista ortodoncji w Wieluniu - Lek. Dent. Joanna Rygas
Rejestracja:
tel. 693 388 558
Poniedziałek: 12:00-18:00
Wtorek: 9:30-15:00
Środa: 9:30-15:00
Czwartek: 9:30-15:00
Piątek: 12:00-18:00
© 2025. J.R. All rights reserved.
ul. Staszica 46A
98-300 Wieluń








